ブログ
銀歯の下が虫歯になるのはどうして?原因や予防法を解説
こんにちは。東京都国立市、JR中央本線「国立駅」南口より徒歩1分にある歯医者「国立みんなの歯医者・矯正歯科・小児歯科・歯科口腔外科」です。
虫歯の治療で銀歯を入れた経験がある方は多いのではないでしょうか。銀歯は保険適用で費用を抑えられるうえ、強度も高いため、特に奥歯の治療で広く使われてきました。
しかし、治療から数年経って銀歯の下で虫歯が再発するケースが少なくありません。一度治療したはずの歯が再び虫歯になるのはなぜなのでしょうか。
今回は、銀歯の下に虫歯ができる原因や、それを防ぐための対策、そして再発した場合の治療方法まで詳しく解説します。
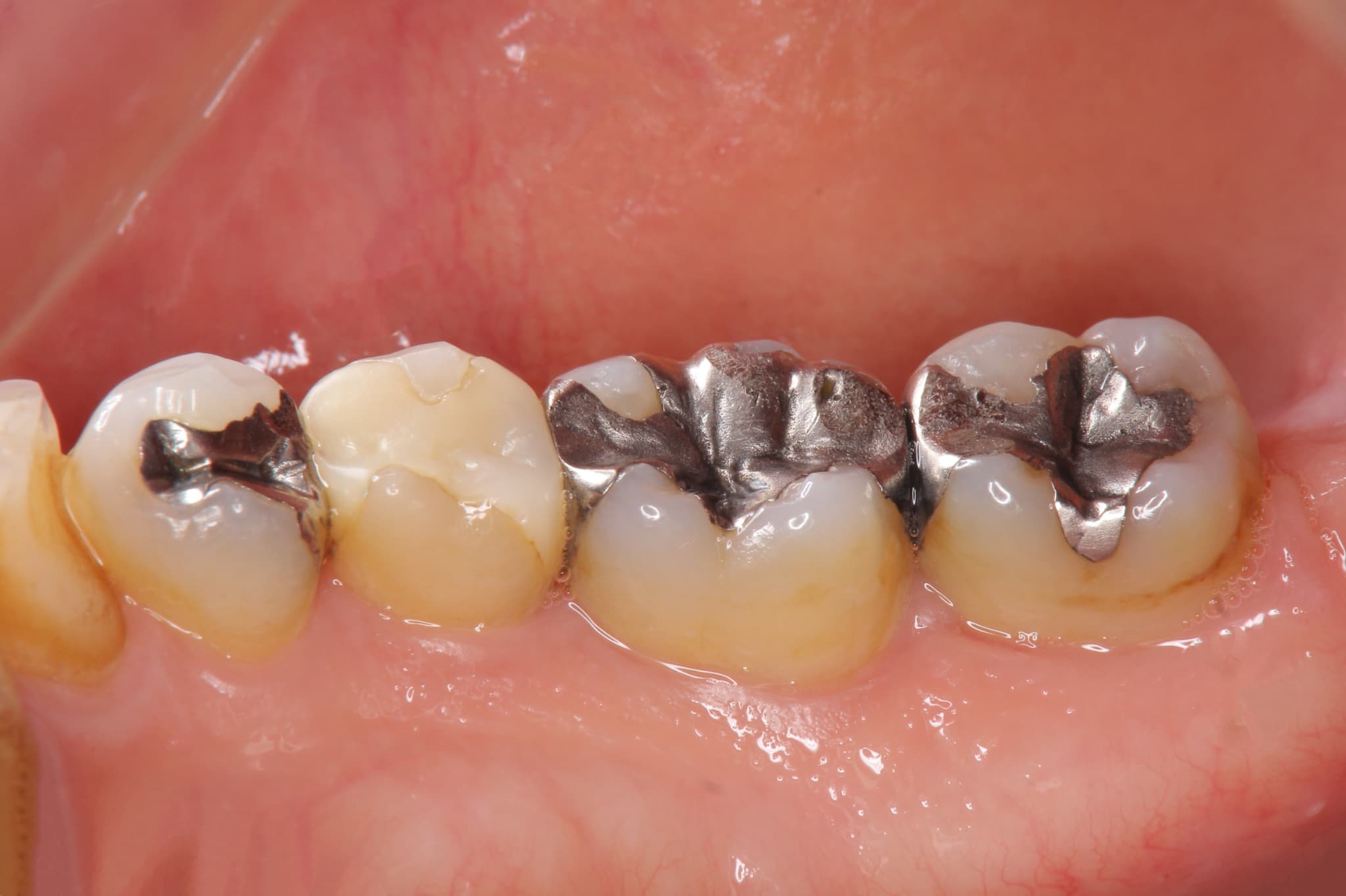
銀歯とは

銀歯とは、虫歯の治療後に詰め物や被せ物として使用される金属製の補綴物のことを指します。日本の保険診療で多く使われているのは金銀パラジウム合金という金属で、特に奥歯の治療によく用いられます。
費用が安く、噛む力にも耐えられるという利点があるため、長年にわたり使用されてきました。
一方で、銀歯には口をあけたときに目立つ、金属アレルギーの症状が現れる可能性があるといったデメリットもあります。また、経年劣化で天然歯との間に隙間ができやすく、虫歯菌が侵入すると、銀歯の下で虫歯が再発するケースも少なくありません。
銀歯の構造や特性を正しく理解することは、再発予防の第一歩となります。
銀歯の下が虫歯になる原因

一度治療して銀歯を入れた歯でも、時間が経つと再び虫歯になることがあります。ここでは、その主な原因について詳しく見ていきましょう。
銀歯と天然歯の間に隙間ができやすい
銀歯を入れた直後はしっかりと歯に合うように作られます。
しかし、年月が経つにつれて金属がわずかに変形したり、歯そのものが摩耗したりすることで、少しずつ境目にすき間が生じることがあります。
また、金属は温度の変化に敏感で、熱い飲み物や冷たい食べ物を口にすると膨張と収縮を繰り返します。この動きが積み重なることで、銀歯と歯の接着面がゆるみやすくなるのです。
また、銀歯と天然歯との間には、どうしても微小な段差やすき間ができやすい傾向があります。このすき間にプラークや食べかすが入り込むと、そこから細菌が増え、銀歯の下で虫歯が進行することがあるのです。
見た目ではわかりにくいため、気づいたときには虫歯が大きく広がっていることも珍しくありません。
しっかり歯磨きができていない
銀歯と天然歯との間には段差やわずかな溝ができていることが多く、普通の歯よりも歯ブラシが届きにくい構造になっています。
そのため、しっかり磨いているつもりでも、実際には汚れが落としきれていないことがあります。その結果、歯垢(プラーク)がたまると、そこから虫歯菌が繁殖して虫歯が再発するのです。
銀歯の周囲は特に注意が必要なため、フロスや歯間ブラシを使ったり、歯科医院で正しい磨き方を指導してもらったりすることが、虫歯の再発を防ぐポイントになります。
虫歯の取り残しがあった
銀歯を入れる前の虫歯治療で、虫歯部分を完全に取りきれていなかった場合、その部分から虫歯が進行することがあります。特に、虫歯が深くまで広がっていると、処置が難しいため、どうしても虫歯の取り残しが起こりやすくなります。
治療後すぐには問題がないように見えても、残った虫歯菌が少しずつ歯の内部で広がり、数年後に痛みが出たり、銀歯の下で虫歯が大きくなっていたりすることがあります。
こうしたケースは外から見えにくいため、発見が遅れやすく、気づいたときには神経まで達していることもあるため注意が必要です。
銀歯の下が虫歯になったときの治療

銀歯の下で虫歯ができた場合、まずは虫歯の状態を正確に確認するために、銀歯を取り外す必要があります。外からは見えない場所に虫歯が広がっていることもあるため、レントゲンなどの検査も行いながら、歯の中の状況を詳しく調べます。
虫歯が浅ければ、虫歯部分を削って新しく詰め物を作り直すだけで済むこともあります。
しかし、虫歯が深くまで進行している場合は、歯の神経を抜く根管治療が必要になることがあります。さらに、虫歯が歯の根っこまで広がっていたり、歯にひびが入っていたりすると、残念ながら抜歯が必要になるケースもあるでしょう。
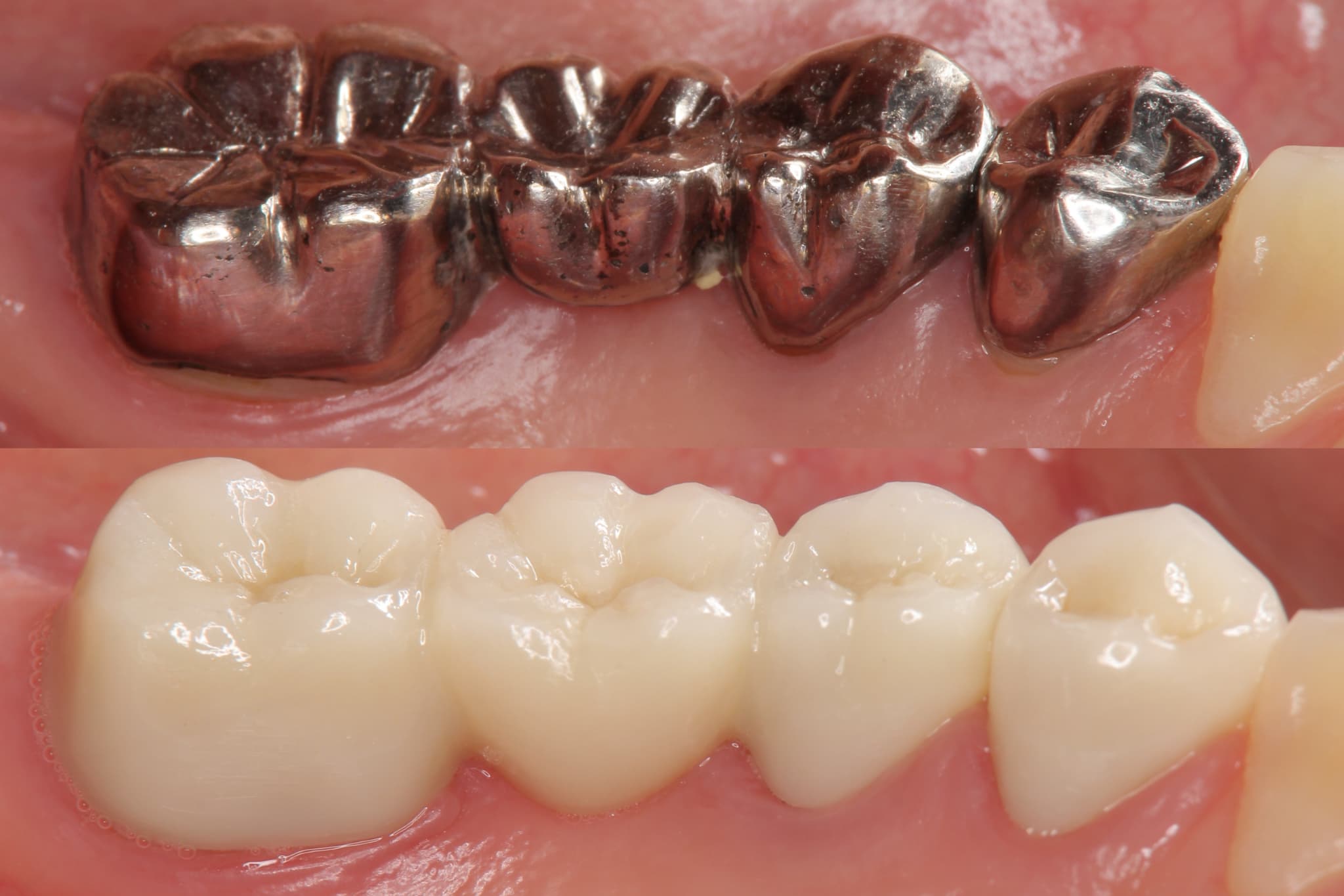
治療が終わったあとには、再び銀歯を使うのか、それともセラミックなど別の素材にするのかを検討することになります。見た目の自然さや虫歯の再発リスクを考えて、保険適用外の素材を選ぶ方も増えています。
どの治療法が自分に合っているかは、歯科医師とよく相談して決めることが大切です。
虫歯の再発を防ぐためには

銀歯を入れた歯をできるだけ長く健康に保つためには、毎日のケアと定期的なチェックが欠かせません。ここでは、虫歯の再発を防ぐためにできる具体的な方法をご紹介します。
毎日の歯磨きをていねいに行う
虫歯の再発を防ぐためには、まず毎日の歯磨きをしっかり行うことが基本です。特に銀歯のまわりは、段差や細かいすき間ができやすく、プラーク(歯垢)がたまりやすい場所です。歯と銀歯の境目を意識して、優しく小刻みに歯ブラシを動かしながら磨くようにしましょう。
さらに、歯ブラシだけでは届きにくい場所には、デンタルフロスや歯間ブラシを使うことが推奨されます。歯と歯の間などの細かい部分に付着した汚れもきれいに落とせます。朝と夜の2回、時間をかけてていねいにケアをすることが大切です。
また、自分に合った歯ブラシの種類や磨き方がわからないときは、歯科医院でブラッシング指導を受けましょう。プロによるアドバイスを取り入れることで、毎日のケアがより効果的になります。
銀歯をほかの素材に替えることも検討する
銀歯は保険が適用されるため、経済的に治療しやすいというメリットがありますが、時間がたつと劣化したり、すき間ができたりするため、虫歯が再発しやすい素材でもあります。そのため、虫歯の再発をきっかけに、ほかの素材への交換を検討する方も増えています。
たとえば、オールセラミックやジルコニアといった素材は、歯との間にすき間ができにくく、虫歯の再発リスクも軽減できるとされています。また、見た目も自然で、金属を使っていないため、金属アレルギーの心配もありません。
保険が適用されない素材ですが、長期的に見ると歯を守るためのよい選択になることもあります。
定期的に歯科医院でチェックとクリーニングを受ける
どれだけ毎日ていねいに歯を磨いていても、すべての汚れを完璧に落とすのは難しいものです。特に銀歯のまわりは段差があって汚れが残りやすいため、歯科医院での定期的なチェックとクリーニングがとても大切になります。
歯科医院では、専用の器具を使って歯石や歯垢をしっかり取り除いてくれるだけでなく、銀歯が劣化していないか、虫歯が再発していないかなども詳しく確認してくれます。初期の虫歯は自覚症状がないことも多いため、早めに見つけて治療することで歯を守ることができます。
理想は3〜6か月に1回のペースで通うことです。定期的なケアを受けることで、自分の歯を長持ちさせることにつながります。
まとめ

銀歯は、多くの人が虫歯治療で選んできた身近な素材ですが、時間がたつと歯との間にすき間ができたり、汚れがたまったりすることで、再び虫歯になることがあります。見た目ではわかりにくいため、気づいたときには虫歯が進行していることも少なくありません。
大切なのは、治療が終わったあとも油断せず、毎日のケアを丁寧に続けることです。あわせて、定期的に歯科医院でチェックを受けることで、早めの対応ができるようになります。
また、必要に応じて銀歯からほかの素材へ替えることも、再発を防ぐための選択肢のひとつです。自分の歯を守るために、できることから始めましょう。
虫歯の症状にお悩みの方は、東京都国立市、JR中央本線「国立駅」南口より徒歩1分にある歯医者「国立みんなの歯医者・矯正歯科・小児歯科・歯科口腔外科」にお気軽にご相談ください。
当院は「地元の歯医者によるプロの治療」をコンセプトに、高いレベルの歯科治療を提供しています。虫歯治療からインプラント、矯正歯科など、幅広く対応しております。




