ブログ
歯石がつく前に!歯石の予防法や放置リスクを解説!
こんにちは。東京都国立市、JR中央本線「国立駅」南口より徒歩1分にある歯医者「国立みんなの歯医者・矯正歯科・小児歯科・歯科口腔外科」です。
歯石を放置すると、歯周病や虫歯、口臭の原因になることがあります。歯石は自宅の歯磨きでは取り除けないため、歯石がつく前に予防することが大切です。「どうすれば歯石を防げるの?」「そもそもなぜ歯石ができるの?」などと疑問に思う方も多いのではないでしょうか。
この記事では、歯石ができやすい人の特徴と、歯石を予防する方法について解説します。歯石が気になっている方や、お口の中を健康的に保ちたい方は、ぜひ参考にしてください。
歯石とは

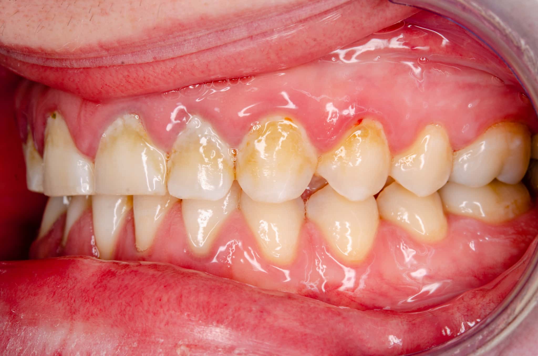
歯石とは、歯の表面や歯と歯茎の境目に付着した歯垢(プラーク)が、唾液中のカルシウムやリンなどのミネラル成分によって石灰化したものです。磨き残しがある場合、数日でプラークから歯石へと変化します。
歯の表面や歯と歯茎の境目に硬くこびりつくため、歯石は自宅での歯磨きでは取り除けません。初期の段階では白っぽい見た目で目立ちにくいですが、放置すると黄色や黒褐色になる場合があります。不衛生な見た目になるだけでなく、強い口臭の原因にもなります。
また、歯石の表面はざらざらとしていて細菌が繁殖しやすい環境です。虫歯や歯周病になるリスクが高まるため、早めに除去する必要があります。
歯石ができやすい人の特徴

ここでは、歯石ができやすい人の特徴について解説します。
磨き残しがある
歯石のそもそもの原因は、歯磨きによる磨き残しです。プラークは歯と歯の間、歯と歯茎の境目、奥歯の噛み合わせ部分などにたまりやすく、歯ブラシが届きにくいため磨き残しが起こりやすくなります。
磨き残されたプラークは、時間の経過とともに石灰化して歯石へと変化します。毎日歯磨きをしていても、自己流の磨き方では十分に汚れを落としきれていないケースは少なくありません。
唾液の分泌量が少ない
唾液には、口腔内を洗い流す自浄作用や細菌の増殖を抑える働きがあります。唾液の分泌量が少ないと細菌が繁殖しやすくなるため、プラークが多くなり、結果的に歯石ができやすくなるのです。
唾液の分泌は、口呼吸やストレス、薬の副作用などによって低下することがあります。口の中が乾きやすいと感じる人は、歯石だけでなく虫歯や歯周病のリスクも高まるため注意が必要です。
食生活が乱れている
甘いものや炭水化物を頻繁に摂取したり、だらだらと食事をとったりすると、歯石のできやすさにつながります。口の中が常に汚れやすい状態になり、プラークが形成されやすくなるためです。
また、口の中が常に酸性になり、虫歯のリスクも高まります。
歯石を放置するリスク

歯石を放置するとさまざまなリスクが生じ、口腔内だけでなく全身の健康にも悪影響を及ぼす可能性があります。ここでは、歯石を放置することによって起こり得るリスクについて解説します。
歯周病が進行する
歯石を取り除かずに放置すると、歯と歯茎の間の歯周ポケットに細菌が増殖し、炎症が起こることで歯周病が進行します。初期段階では歯茎が赤く腫れ、出血が見られる程度ですが、進行すると歯を支える骨が破壊され、最終的に歯のぐらつきや脱落につながることもあります。
特に中高年以降の方は、歯周病が重症化するケースも多く、治療が長期化しやすいです。
虫歯になるリスクが高まる
歯石の表面はざらざらしており、プラークが付着しやすい環境を作り出します。プラークの中には虫歯菌も含まれており、酸を発生させて歯のエナメル質を溶かすのです。
虫歯が進行すると、激しい痛みが生じたり、歯の大部分が溶けて抜歯せざるを得ない状況になったりする可能性があります。
口臭が悪化する
歯石を放置すると、強い口臭の原因になります。歯石によって歯と歯茎の間に隙間が生じ、汚れがたまって細菌が繁殖するためです。
歯石が大きくなると隙間が広くなるため、さらに細菌が繁殖しやすくなる悪循環に陥ります。
特に、下の前歯の裏側や奥歯の周辺は、歯石が付きやすい場所です。放置すればするほど、口臭は改善しにくくなるでしょう。
見た目が悪くなる
歯石ができると口を開けたときに見えるため、見た目が悪くなります。歯石は初期の段階では白色ですが、黄色、黒褐色と変化していきます。
特にタバコを吸っている方や、色の濃い飲食物をよく口にしている方は、着色汚れも付着しているため、さらに変色しやすくなるでしょう。黄ばみや黒ずみがあると、審美性が下がり、コミュニケーションにも影響を与える可能性があります。
全身の健康に影響する
歯石が引き起こす影響は、お口の中だけにとどまりません。前述したとおり、歯石は虫歯菌や歯周病菌が付着しやすい環境をつくり出すため、虫歯や歯周病になるリスクを高めます。
歯周病菌が血流に入り込むと、さまざまな全身疾患を引き起こす可能性もあるのです。例えば、糖尿病の悪化、心筋梗塞や脳梗塞のリスク上昇、早産などとの関連が指摘されています。
お口の中の健康が全身の健康に関わることから、歯石の予防と歯周病対策は、全身の健康管理においても重要といえるのです。
歯石を予防するために自宅でできること

歯石がつくのを防ぐためには、毎日のセルフケアが欠かせません。歯石になる前の歯垢をしっかり取り除くことで、歯の健康を守ることにつながります。
以下に、自宅で行える歯石予防の方法を紹介します。
正しく歯磨きをする
歯石の主な原因は、プラークの蓄積です。そのため、丁寧に歯磨きをする習慣を心がけましょう。特に、歯と歯茎の境目や奥歯に磨き残しがないか意識しながら磨いてください。
歯がデコボコと並んでいる場合や歯周ポケットが深い場合は、プラークが蓄積しやすくなります。歯ブラシだけではなく、デンタルフロスや歯間ブラシ、タフトブラシも使用しながら、磨き残しを防ぐことが重要です。磨いたつもりにならないために、鏡で歯を見ながら磨くのも効果的でしょう。
マウスウォッシュを活用する
歯磨き後にマウスウォッシュを使用し、食べかすやプラークを洗い流すのも効果的です。特に就寝前に使用すると、翌朝までお口の中を清潔に保てるでしょう。
ただし、マウスウォッシュだけでは歯の表面についた汚れを落とすことはできません。あくまでブラッシング後の仕上げとして活用しましょう。
唾液の分泌を促す
水分をしっかり摂り、よく噛んで食べることも歯石予防に役立ちます。食事の際に噛む回数を増やすと唾液の分泌が促され、口の中の汚れが洗い流されるためです。
唾液には、歯の再石灰化を妨げる酸を中和し、歯茎を健康な状態に保つ働きもあります。加齢やストレスによっても唾液の分泌が減るため、意識的に水を飲んだり、よく噛んで食事をしたりすることが大切です。
また、口呼吸をしている方は、口を閉じて鼻で呼吸をするよう心がけましょう。
歯石を予防するために歯科医院で行うこと

歯石を完全に防ぐことは現実的ではありませんが、歯科医院での定期的なケアによって、歯石の予防効果を高めることは可能です。ここでは、歯科医院で受けられる歯石の予防法について解説します。
定期検診
歯石の蓄積を防ぐためには、定期的に歯科医院で検診を受けることが大切です。定期的にお口のチェックを行うと、虫歯や歯周病が見つかった場合でも、早期に治療を受けられます。
定期検診の一般的な頻度は、3〜6ヶ月に一度のペースです。虫歯や歯周病になりやすい方や歯石がたまりやすい方は、さらに短い間隔での受診が勧められる場合もあります。
クリーニング
毎日丁寧に歯磨きをしていても、歯石を完全に防ぐことは現実的ではありません。そのため、定期的に歯のクリーニングを受けることが大切です。歯科医院では専門の機器を使用し、自分では取り除けなかったプラークや歯石を除去できます。
クリーニングは、2〜3ヶ月に1回程度受けるのが理想的です。クリーニング後、お口の中の細菌は少しずつ増殖します。2〜3ヶ月程度でもとの細菌の数に戻るといわれているため、再び取り除く必要があるのです。
ブラッシング指導
歯科医院では、一人ひとりの口腔内の状態やデンタルケアの習慣に合わせたブラッシング指導が行われます。歯ブラシの持ち方や動かし方、力加減なども指導してもらえるほか、どの部分に磨き残しが多いのか、自分では気づきにくいポイントを教えてもらえます。
正しいブラッシングを身につけて、自宅でのセルフケアの質が向上すれば、歯石がつきにくい口腔内を保てるでしょう。
まとめ

歯石ができやすい人には、唾液の分泌量が少ないなどの体質や、毛先の向きが悪いなどの歯磨きの習慣に問題があることが多いです。また、間食が多いなどの食生活が原因になっている場合もあるでしょう。
歯石は普段のブラッシングでは取り除けません。放置すると歯周病や虫歯、口臭などの要因となります。さらに、全身の健康にも影響を及ぼす可能性もあります。
歯石を防ぐためには、自宅と歯科医院の両方でお口のケアをしていくことが大切です。毎日正しい方法で歯磨きを行い、定期的に歯科医院のチェックやクリーニングを受けると、お口を健康的に維持しやすくなるでしょう。
歯石の付着を予防したい方は、東京都国立市、JR中央本線「国立駅」南口より徒歩1分にある歯医者「国立みんなの歯医者・矯正歯科・小児歯科・歯科口腔外科」にお気軽にご相談ください。
当院は「地元の歯医者によるプロの治療」をコンセプトに、高いレベルの歯科治療を提供しています。虫歯治療からインプラント、矯正歯科など、幅広く対応しております。




